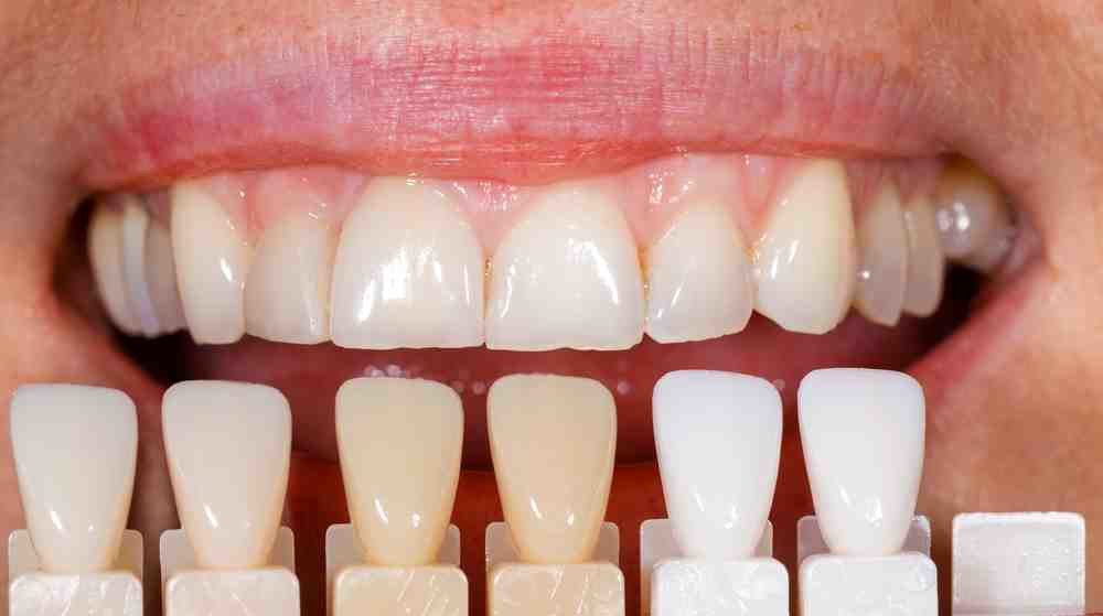
Carillas estéticas


Las carillas dentales son uno de los tratamientos con mayor demanda dentro de la especialidad de Odontología Estética. Y no es de extrañar, pues permite mejorar sustancialmente el aspecto de los dientes de forma muy rápida y eficaz. De este modo, la persona no necesita someterse a un tratamiento que requiera más tiempo y consigue la estética dental que desea tener.