Peridoncia - tratamiento de las encias


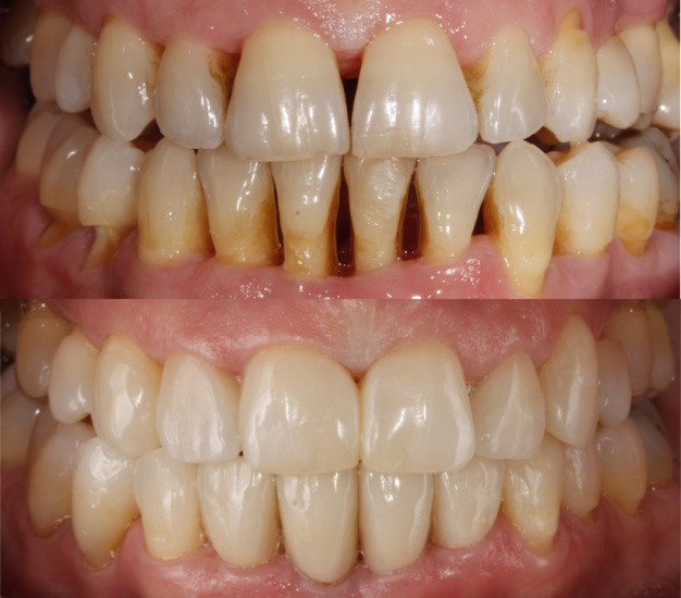
La periodoncia se encarga de la salud de la encía y del hueso que rodean a nuestros dientes. La salud de estos tejidos en muy importante ya que gracias a ellos mantenemos los dientes inmóviles en boca, los protegen de agresiones externas, evitamos desagradables molestias debidas al calor o al frío y además nos permite tener una masticación adecuada. Los problemas más comunes que suelen afectar a estos tejidos son debido a una mala higiene o a traumatismos y en la mayoría de los casos se pueden solucionar con tratamientos preventivos.